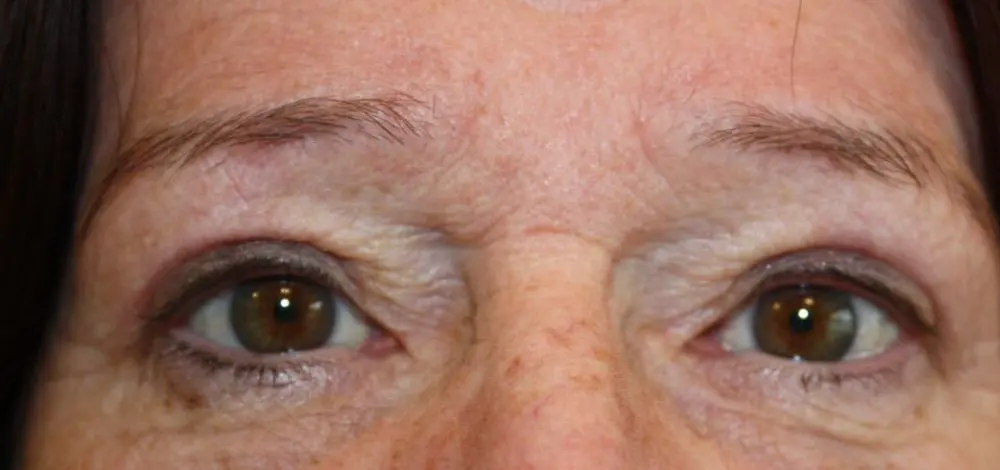
Voelen je ogen zwaar aan? Lijk je vermoeider dan je je voelt? Overhangende bovenoogleden komen veel voor en kunnen zorgen voor een vermoeid uiterlijk, hoofdpijnklachten of zelfs een beperkt gezichtsveld.
Een bovenooglidcorrectie (blepharoplastiek) is een chirurgische ingreep waarbij overtollige huid en eventueel vetweefsel van de bovenste oogleden wordt verwijderd. Het resultaat: een minder vermoeide blik, verlichting van fysieke klachten én een mooier zicht op de wereld om je heen.
Bij Klaver Klinieken in Heesch komt u in aanmerking voor een bovenooglidcorrectie als u last heeft van hangende oogleden, een vermoeide uitstraling, een beperkt gezichtsveld of hoofdpijn door het optrekken van uw wenkbrauwen. Tijdens een consult beoordelen wij uw situatie en geven wij een eerlijk advies.
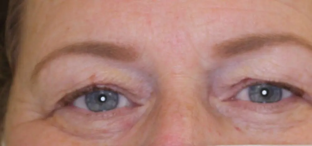
De behandeling vindt plaats onder plaatselijke verdoving en duurt ongeveer 45 minuten. Daarbij wordt de overtollige huid verwijderd om uw oogopslag te verfrissen. U mag direct naar huis en bent meestal binnen een week weer toonbaar. Na een week verwijderen we de hechtingen, en na twee maanden volgt een eindcontrole.
Als er sprake is van verzekerde zorg dan ontvangen we graag een verwijsbrief van uw huisarts.
















































































Artsen met
Jaar ervaring
Klaver Klinieken heeft
Geen wachttijden
Best beoordeelde
service 20254.9 gecertificeerd door: TrustindexTrustindex verifieert dat het bedrijf een beoordelingsscore boven 4.5 heeft, op basis van beoordelingen verzameld op Google in de afgelopen 12 maanden, waardoor het bedrijf in aanmerking komt voor het Hoogst Beoordeelde Certificaat.
Wilt u meer weten over een bovenooglidcorrectie? Neem contact met ons op voor een vrijblijvend consult. Onze deskundige en betrokken specialisten staan voor u klaar. Samen bekijken we welke behandeling het beste bij u past.
De ingreep zelf is nagenoeg pijnloos, omdat deze wordt uitgevoerd onder plaatselijke verdoving. Na de behandeling kunt u wat lichte napijn of een trekkend gevoel ervaren, maar dit is doorgaans goed te verlichten met paracetamol.
De meeste mensen zijn binnen een week weer toonbaar. Na zeven dagen worden de hechtingen verwijderd. U mag lichte dagelijkse activiteiten vrijwel direct hervatten, maar we adviseren wel om het de eerste dagen rustig aan te doen en intensieve inspanning te vermijden.
In sommige gevallen wordt een bovenooglidcorrectie vergoed, bijvoorbeeld als er sprake is van een aantoonbare medische noodzaak, zoals een sterk beperkt gezichtsveld. Tijdens het consult beoordelen we uw situatie en kunnen wij, indien van toepassing, de aanvraag bij uw zorgverzekeraar voor u verzorgen. We hebben hiervoor wel een verwijzing van uw huisarts nodig.
Ja, Arnica (druppels of tabletten) mag u gebruiken als ondersteuning bij het verminderen van blauwe plekken en zwelling.
De incisies worden precies in de natuurlijke oogplooi geplaatst, waardoor de littekens na genezing nauwelijks zichtbaar zijn. Met de juiste nazorg herstellen de littekens doorgaans mooi en onopvallend. Herstel van littekens neemt wel tijd in beslag, zo’n 6 maanden.
Afhankelijk van het soort werk dat u doet, kunt u na ongeveer een week weer aan de slag. Sporten of andere intensieve inspanningen raden we aan pas na anderhalve of twee weken voorzichtig te hervatten, om de genezing niet te verstoren. Fietsen en wandelen mag wel.